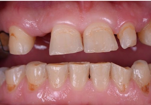
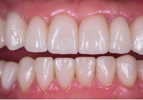
Dentures are a reliable solution for replacing missing teeth and restoring your smile. At our Auckland dental clinic, custom dentures are designed to improve comfort, appearance, and everyday function.
Dentures are removable dental appliances designed to replace missing teeth and restore your ability to chew and speak comfortably. Modern dentures are carefully designed to provide improved stability, comfort, and a natural appearance.
Patients across Auckland choose dentures to regain confidence and restore daily oral function after tooth loss. Each denture is custom made to fit securely and match the appearance of surrounding teeth.
Skilled dentists providing denture treatments for missing teeth.
Durable dental materials used for comfortable and natural dentures.
Treatment plans carefully designed to suit your dental needs.
Advanced technology supporting accurate and comfortable treatment.

Dentures may include full dentures, partial dentures, immediate dentures, and acrylic dentures depending on the patient’s needs.
Modern dentures are designed to provide improved comfort and stability when properly fitted.
With proper care and regular dental visits, dentures can last several years.
Dental crowns can be made from porcelain, ceramic, or other durable dental materials.
Dentures should be cleaned daily using a denture brush and recommended denture cleaning products.
If you are missing teeth, dentures in Auckland can help restore your smile and improve everyday comfort. Book a consultation with our dental team to explore the most suitable denture options for you.